إذا كنت تبحث عن أفضل مركز لعلاج أمراض اللثة في أبوظبي
فإن GlamSmile Dental Center يقدّم لك حلولًا متكاملة تشمل علاج التهابات اللثة، التنظيف العميق للثة، والوقاية من أمراض اللثة باستخدام أحدث التقنيات الطبية، لضمان صحة فمك وابتسامتك على المدى الطويل.
في GlamSmile Dental Center في أبوظبي نؤمن أن صحة اللثة هي الأساس الحقيقي لابتسامة صحية تدوم طويلًا.
نقدّم برامج متكاملة لعلاج أمراض اللثة تشمل التشخيص المبكر، العلاج المتقدم، والوقاية المستمرة، لضمان الحفاظ على أسنانك قوية ولثتك سليمة.
سواء كنت تعاني من التهابات اللثة، نزيف اللثة، أو تبحث عن تنظيف عميق للثة وبرامج وقائية فعّالة، فإن فريقنا الطبي المتخصص يوفّر لك رعاية دقيقة باستخدام أحدث التقنيات وبأعلى معايير السلامة.
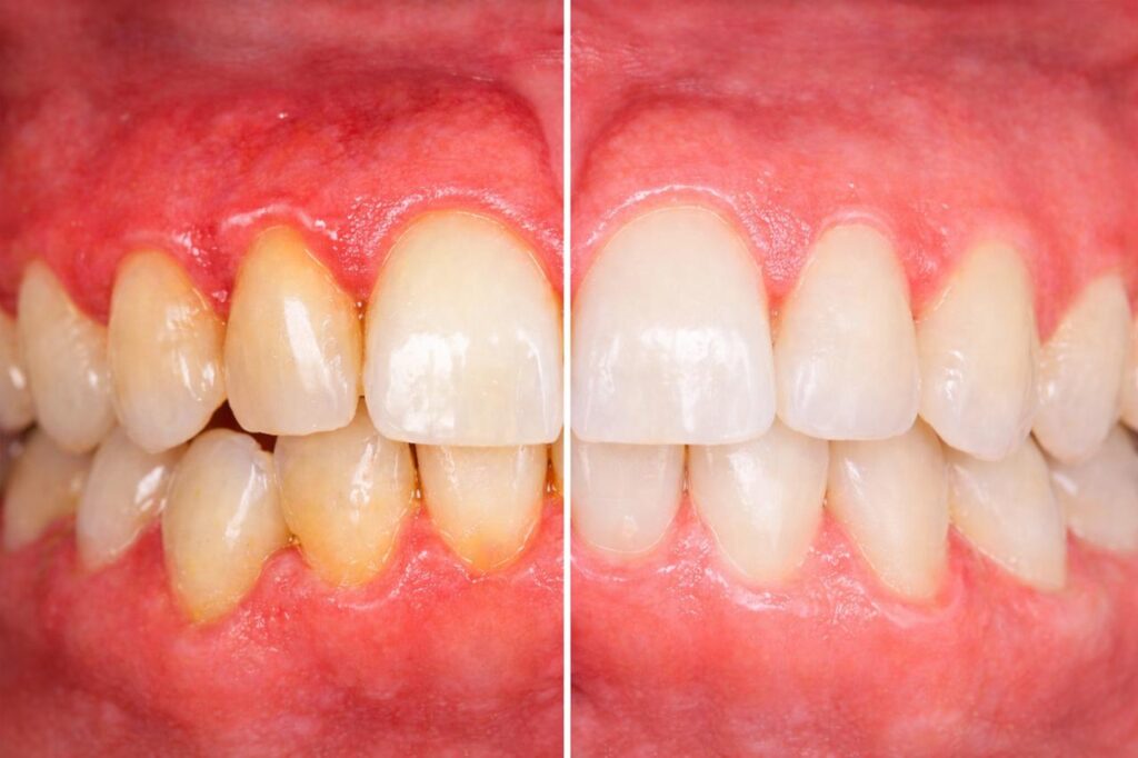
إزالة البكتيريا المسببة للالتهاب، تقليل التورّم والنزيف، واستعادة صحة اللثة بطريقة آمنة ولطيفة، مع توعية المريض بأساليب العناية اليومية بعد العلاج.
إجراء علاجي متقدم لإزالة الترسبات والبكتيريا من تحت خط اللثة، يساعد على إيقاف تطوّر أمراض اللثة والحفاظ على ثبات الأسنان وصحة العظم المحيط بها.
برامج وقائية مخصّصة تشمل الفحوصات الدورية والتوعية المستمرة لحماية صحة اللثة ومنع تطوّر المشكلات قبل ظهورها.
في الحالات التي تتطلّب تدخلًا تخصصيًا مثل الجراحة اللثوية، نوفّر تحويلًا منظّمًا وآمنًا إلى مختصين مع متابعة مستمرة لضمان أفضل نتائج علاجية.
في GlamSmile Dental Center نوفّر خدمات متكاملة في علاج أمراض اللثة في أبوظبي تشمل:
تشخيص التهاب اللثة، تنظيف عميق للثة، علاج نزيف اللثة، والوقاية من أمراض اللثة المتقدمة، باستخدام أحدث التقنيات الطبية وعلى يد نخبة من أطباء الأسنان، لضمان صحة فم طويلة الأمد وابتسامة واثقة.
رعاية متخصصة من أطباء أسنان ذوي خبرة في علاج اللثة في أبوظبي
استخدام تقنيات حديثة في تنظيف اللثة العميق والعلاج غير الجراحي
برامج وقائية مخصّصة للحفاظ على صحة اللثة على المدى الطويل
متابعة مستمرة للحالات المتقدمة وتحويل آمن عند الحاجة لتدخل تخصصي
بيئة طبية مريحة تهدف إلى تقليل القلق وزيادة راحة المريض
يتكوّن فريقنا من نخبة من أطباء الأسنان ذوي الخبرة الواسعة، الذين يتمتعون بسنوات طويلة من العمل المهني في مختلف مجالات طب الأسنان العام وتقويم الأسنان . كما نحرص على تزويدهم بأحدث الأجهزة والتقنيات الطبية لضمان تقديم رعاية صحية متقدمة وتجربة علاجية آمنة ومريحة لجميع مرضانا
©2026 كل الحقوق محفوظة Glamsmilecenter
يمكنكم حجز موعد عبر الواتساب